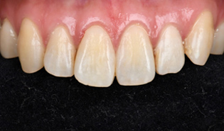
症状
上の前歯を白く綺麗にしたい。
治療期間・期間
3ヶ月程度
料金
ホームホワイトニング 3万
上顎4前歯ラミネートベニア 12万×4本
合計 51万
担当技工士
鬼頭 寛之
院長より
上顎前歯の隙間を何とかしたいとの理由により来院。また全体的に歯を白くしたいとの要望もありました。まずはホワイトニングで自分の歯を自然な白さにし、その上で、歯の色を合わせたラミネートベニアを使い、隙間のない前歯の形に仕上げました。修復した前歯4本は、ほとんど削る事なく理想的な見た目になりました。セラミックは変色しませんが、自分の歯は経年により少しずつ後戻りするため、ホームホワイトニングにて定期的にご自身でメンテナンスしていただいています。

