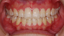
症状
歯並び、見た目を綺麗にしたい。
治療期間・期間
1年程度
料金
上顎インビザライン矯正治療 35万
上顎前歯オーダーメイドオールセラミッククラウン2本
15万×2本
上顎前歯ラミネートベニア4本 12万×4本
プロビジョナルレストレーション6本 0,5万×2本
ホームホワイトニング 3万
合計 117万
院長より
上下の歯の正中(真ん中のライン)のズレ、出っ歯を直したいと来院。さらに逆三角形の形をした歯、神経を抜いて変色した歯の治療も希望されていました。まずは上顎の出っ歯と正中の改善をインビザライン(マウスピース)矯正。ホームホワイトニングで歯全体を自然な白色にした後、ラミネートベニアとオーダーメイドオールセラミッククラウンにて歯の形態、噛み合わせを修復しました。できるかぎり削らない、神経を抜かない治療方法を選択することで、長期的な歯の安定につなげることができます。治療後はメンテナンスとして、夜間マウスピースを使用していただいています。




















