症状
全体的に治療したい
治療期間・期間
約1年
料金
オーダーメイドオールセラミッククラウン6本 15万×6本
ラミネートベニア 15万×4本
セラミッククラウン 12万×6本
セラミックインレー 5万×2本
プロビジョナル 1万×14本
院長より
歯も削れて短くなっていたり、しみたり、噛みにくかったりとお悩みでした。全体的に噛み合わせの診査をして理想的な噛み合わせと見た目で治療を行いました。とても自然で理想的な仕上がりになりました。
0
オールセラミッククラウン・
ラミネートベニア
(セラミック)
オールセラミッククラウン・
ラミネートベニア(セラミック)
当医院では、できるかぎり天然の歯が長持ちするような審美治療を行っています。より自然で美しい仕上がりを実現するため、高度な技術と実績のある歯科技工士が立会い、歯科医師・患者さまを含めた3者で話し合いながら治療方法を決定、患者さまの要望に合わせた世界に1つしかないオーダーメイドの歯を作成します。
連携歯科技工士
精密審美治療とは
当医院では、患者さまのお口の健康の将来も考慮して、できる限り天然の歯が長持ちする審美治療を行っています。
できるだけ神経を残したり、歯を削る量を少なくすること(MI)で歯の寿命は長くなります。
その上で、最高の仕上がりを作るためには、マイクロスコープや拡大鏡を使った精密な治療、矯正や
セラミックを組み合わせた総合的な治療が必要になります。
より自然で美しい仕上がりを実現するため、技工士立会いのもと、色などを確認しながら治療を進めていきますので、
それぞれの患者さまの要望に合わせた歯をオーダーメイドで作ることが可能です。

銀の詰め物や被せ物を選ぶリスク
保険診療の範囲内で使用されている銀の詰め物や被せものは、比較的安価である反面、さまざまなデメリットもあります。審美的な観点から見た目が気になることはもちろん、口腔内は常に水分の多い環境なので、保険診療内で使われる合金は数年のうちに腐食・劣化し、隙間から新たな虫歯ができてしまうことも多々あります。一方、セラミックは、そうした環境下でも劣化することがほとんどないので、長期的に安定して機能する素材といえます。「治療のやりかえ」をする必要がありません。
保険診療の範囲内で使用されている銀の詰め物や被せものは、比較的安価である反面、
さまざまなデメリットもあります。審美的な観点から見た目が気になることはもちろん、
口腔内は常に水分の多い環境なので、保険診療内で使われる合金は数年のうちに腐食・劣化し、
隙間から新たな虫歯ができてしまうことも多々あります。一方、セラミックは、
そうした環境下でも劣化することがほとんどないので、長期的に安定して機能する素材といえます。
「治療のやりかえ」をする必要がありません。
詰め物・被せ物の種類
TYPE 01
料金
保証期間5年間¥150,000
患者さまのご希望にあわせた仕上がりになる。
金属を一切使用しないため、歯肉の変色やアレルギーの心配がない。
プロビジョナル(精密な仮歯)を使って、形を調整するため治療に回数がかかる。保険外診療(自費診療)になる。

術前

オーダーメイド
オールセラミッククラウン

術後
1本1本、その人の状態(噛み合わせ、見た目)に合わせて最適なセラミック(ジルコニア、2ケイ酸リチウム、ポーセレン)を選択し、長期的に安定するように仕上げていきます。また、卓越した歯科技工士が立会い患者さまの好みや希望を考慮して、完全オーダーメイドの歯を完成させます。
TYPE 02
料金
保証期間5年間¥120,000
口腔内の過酷な環境でも、長期的に変色や劣化をしない。金属は一切使用しないため、歯肉の変色やアレルギーの心配がない。
オーダーメイドオールセラミッククラウンに比べると完全に色を合わせたり、希望通りに仕上げるのが難しい。保険外診療(自費診療)になる。

術前

オールセラミッククラウン

術後
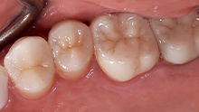
全てセラミックス(ジルコニア、2ケイ酸リチウム、ポーセレン)で作製する被せものです。自然な白さと透明感で仕上がります。また、強度は天然の歯の表面(エナメル質)と同等のため、長期的に安定します。当医院の歯科技工士やデジタル機器(CAD/CAM)によって仕上げていきます。
TYPE 03
料金
保証期間5年間¥50,000~70,000
金属に比べて劣化せず、長期的に安定する。金属は一切使用しないため、歯肉の変色やアレルギーの心配がない。
型取りから仕上がりまでに2週間ほどかかる。保険外診療(自費診療)になる。

術前

術中

術後
セラミックで作製した部分的な詰め物です。自然な白さで、どこを治療したのかわからないように仕上がります。口腔内の環境でも、長期的に安定し二次的な虫歯になりにくいです。大きさにより値段が異なります。(小臼歯50,000円 大臼歯70,000円)
TYPE 04
料金
保証期間5年間¥150,000
歯を削る量を少なく仕上げることが可能。オーダーメイドでセラミックを用いるためとても審美的な仕上がりになる。金属は一切使用しないため、歯肉の変色やアレルギーの心配がない。
噛み合わせが強い部位や、もともとクラウンが入っている歯には適応外。保険外診療(自費診療)になる。

術前

ラミネートベニア

術後
歯の表面を少しだけ削り(0,3~0,7mm)、薄いセラミックのシェルをその表面に貼り付ける方法です。クラウン(被せ物)に比べて歯を削る量がかなり少なく、最も理想的な方法です。また、卓越した歯科技工士が立会い患者さまの好みや希望を考慮して、完全オーダーメイドの歯を完成させます。すきっ歯や欠けてしまった歯、変色した歯、小さい歯などが適応となります。
料金
¥10,000
審美(見た目)機能(噛み合わせ)を理想的に仕上げるために、一定期間使用していただく仮歯。これを生活の上で使用していただき、最終的な調整を行います。長期的に安定した歯を入れるために、とても重要なステップです。
料金
¥5,000
自費診療の歯を入れるための、1本あたりの型取りの料金です。1本ずつ拡大視野下で歯を形成し、変形の無いように精密な型取りを行います。適合の良い被せものを作るために、重要なステップです。
最先端設備
従来、印象材を使用して口腔内の型取りを行っていましたが、このIOSを使用することにより口腔内をスキャンしてデータをとることが可能になります。今までの、気持ち悪かった型取りはしなくて良くなります。また、デジカメによる顔貌写真とこのデータを重ね合わせることにより、治療を開始する前に術後の歯の形や色のシュミレーションが可能になります(スマイルデザイン)。ただし、全ての型取りができるわけではなく適応範囲があります。

セラミックの症例
CASE 01
全体的に治療したい
約1年
オーダーメイドオールセラミッククラウン6本 15万×6本
ラミネートベニア 15万×4本
セラミッククラウン 12万×6本
セラミックインレー 5万×2本
プロビジョナル 1万×14本
歯も削れて短くなっていたり、しみたり、噛みにくかったりとお悩みでした。全体的に噛み合わせの診査をして理想的な噛み合わせと見た目で治療を行いました。とても自然で理想的な仕上がりになりました。
CASE 02
前歯を小さくしたい。綺麗にしたい
約半年
ラミネートベニア4本 15万×4本
モックアップ4本 1万×4本
下顎部分矯正 20万
ホームホワイトニング 3万
前歯を小さく綺麗に並べたいと希望されていました。許末一両では歯の形は変わらない為、上の前歯4本はラミネートベニアによるセラミック、下の前歯の歯並びは部分矯正とホワイトニングで治療しました。透明感もあり、自然な仕上がりに患者さんにも満足していただきました。